產品描述
本產品為iCell團隊精心優化的間充質干細胞成脂誘導分化試劑盒,可增強間充質干細胞向成脂細胞分化的能力。
本產品僅用于科研用途,不可用于診斷、治療、臨床、家庭及其他用途。
產品組成成分及保存
試劑名稱 | 體積(100mL規格/200mL規格) | 保存條件及有效期 |
誘導分化添加劑Ⅰ | 5mL / 10mL | -20℃,1 Year |
誘導分化添加劑Ⅱ | 0.1mL / 0.2mL | -20℃,1 Year |
優質胎牛血清 | 10mL / 20mL | -20℃,1 Year |
細胞基礎培養基 | 85mL / 170mL | 4℃,1 Year |
油紅O染色液 | 5mL / 10mL | 4℃避光,1 Year |
注意:
1.為保證產品的有效性,請避免反復凍融。
2.配制好的誘導培養基保存于2-8℃,有效期為2周,請根據實驗用量合理配制。
產品使用說明
1. 成脂誘導分化完全培養基的配制
①室溫條件下融化各因子及血清。各因子融化后,瞬時離心,使溶液集中于離心管底部。(注意:若因子或血清中有沉淀物,屬正?,F象,無須過濾,避免成分丟失。)
②根據實驗用量,于無菌操作臺中配制誘導分化完全培養基,建議每次配制50mL,配制比例見下表:
試劑成分 | 配制比例 | 50mL配制體系 |
誘導分化添加劑Ⅰ | 5% | 2.5mL |
誘導分化添加劑Ⅱ | 0.1% | 50uL |
優質胎牛血清 | 10% | 5mL |
| 85% | 42.5mL |
2. 成脂誘導分化實驗步驟
①建議取第3~5代、純度達90%以上、狀態良好的間充質干細胞,將其消化下來,離心收集,使用含10%FBS的完全培養基調整細胞密度,均勻鋪于培養瓶/板中,置于37℃5%CO2,飽和濕度的培養箱中培養。(細胞接種詳情參考表二)
培養器皿 | 底面積 | 細胞量 | 培養液體積 |
24孔培養板 | 2cm/孔 | 2×105cell/孔 | 1mL/孔 |
12孔培養板 | 4.5cm/孔 | 4.5×105cell/孔 | 2mL/孔 |
6孔培養板 | 9.6cm/孔 | 9.6×105cell/孔 | 2mL/孔 |
T25培養瓶 | 25cm | 25×105cell | 5mL |
6cm培養皿 | 21cm | 21×105cell | 5mL |
10cm培養皿 | 55cm | 55×105cell | 10mL |
表二
②待細胞匯合度達80%~100%時,即可進行誘導分化。
③小心吸棄細胞培養上清,沿孔壁緩慢加入提前配制好的誘導分化完全培養基,置于37℃恒溫細胞培養箱中培養。(注意:完全培養基加入細胞前需提前置于37℃預熱。)
④每2~3day換用新鮮的誘導分化完全培養基。換液時,若細胞培養上清顏色變為澄清的黃色,是由于細胞量較大,培養基消耗較快導致的,請及時縮短換液周期。(注意:完全培養基加入前需提前置于37℃預熱。)
⑤細胞誘導3周后,即可進行油紅O染色鑒定。
3. 油紅染色分析
①細胞誘導分化結束后,小心吸棄細胞培養上清,1×PBS潤洗1~2次。加入適量細胞固定液,室溫固定30 min。(細胞固定液為4%中性甲醛溶液等,體積參考表二)
②配制油紅O工作液:油紅O貯存液與蒸餾水按照3:2配制,(例:油紅O貯存液3mL,蒸餾水2mL),混勻。使用濾紙過濾,收集濾液,即為油紅O工作液。(注意:成脂細胞內的油滴極易脫落,操作時須謹慎。)
③細胞固定完成后,吸棄細胞固定液,1×PBS潤洗2次。沿孔壁緩慢加入適量油紅O工作液,室溫染色30min。(注意:油紅O工作液底部可能會有沉淀,吸取時盡量不要觸及底部。若細胞染色后有沉淀,PBS洗去即可。)
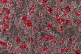
④吸出染色液,PBS潤洗,去掉浮色。顯微鏡下觀察細胞染色效果。細胞內油滴著色,呈紅色。(注意:油紅O工作液不可重復使用,不建議回收。)


成脂細胞油紅染色(圖片僅供參考)
左圖:100倍;右圖:200倍
質量控制
ü 無菌檢測(細菌、真菌和支原體檢測)
ü pH測試
ü 滲透壓檢測
ü 內毒素
相關產品
l 、iCell間充質干細胞
2、iCell原代間充質干細胞無血清培養體系,貨號:PriMed-iCell-012-SF
3、PBS緩沖液,貨號:iCell-0800
僅限科研用。
培養體系中的一些組分是對人體健康有害的物質,請不要用暴露的皮膚接觸培養體系的液體和有培養體系的液體殘留的容器內部;這部分有害物質的濃度和危害性都較低,如有接觸,立即用自來水沖洗即可。
你可能感興趣
評價 (0)
留言板